Metal Braces
Metal
braces are the most common type. They are made of high grade stainless
steel. Today's metal braces are smaller, comfortable and attractive.
Many of our patients have fun with the braces changing their rubber
band colors at every visit.
View Braces Diagram.
Clear Braces
Ceramic
braces are made of translucent (clear) material. They are most popular
with adult patients, due to their cosmetic appeal.

The
Invisalign System is a series of clear overlay templates—called aligners—that
have been generated by computer simulation to gradually move the teeth.
This system is available to adults and teenagers with certain orthodontic
bite problems. Ask us if you are a candidate for the Invisalign system.
For more information on Invisalign, click
here.
Ligatures
The ligature
rubber band (also called an "o-ring is a small colored elastic that
holds the archwire onto the bracket. The ligatures are usually changed
at each regular visit in conjunction with your adjustment.
Have fun with your braces every month with all the different colors
we have for your braces.
Try the Brace Painter
Elastics
Elastics are small rubber bands that patients wear between different
hooks of upper and lower braces. They shift the teeth and the bite in
a desired direction. Patient compliance in wearing these elastics is
vitally important in both the success of treatment and the length of
time in braces.
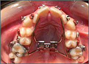
Palatal Expander
Expanders are used to widen a narrow upper jaw to make room for permanent teeth, correct dental crossbites and alleviate skeletal problems in young children. By using palatal expanders at certain ages we can take advantage of bone growth and malleability prior to bone maturation. Treatment usually takes at least six months to allow for bone growth in the expanded area.
Retainers
Following completion of orthodontic treatment, teeth must be maintained
in their newly corrected position. Teeth will always move back towards
their original position, to some degree. Today, most orthodontists advise
lengthy or often lifetime retention of the completed orthodontic result.
|