Dr. John Lee - Your Family Orthodontist


Home
Our Office
Meet the Doctors
Braces 101
About Orthodontics
Your First Visit
Braces Care
Invisalign
6 Month Cosmetic Braces
No Headgear Treatment
Brace Painter
Contact Us


Your First Visit

What happens at my First Visit?
This is a time for Dr. Lee to listen to your patient concerns and to provide an orthodontic examination. He will likely be able to indicate whether or not treatment is needed and if needed, when the best time to start treatment would be. Typical steps prior to beginning treatment include gathering orthodontic records to provide specific information to tailor a specific treatment

 

Orthodontic Records
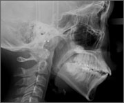
Diagnostic orthodontic records usually comprise: a panoramic x-ray, a cephalometric (head) x-ray, study models and digital photographs. These diagnostic records collectively enable Dr. Lee to develop an appropriate treatment plan specifically for you. Once all the diagnostic information is collected and reviewed then Dr. Lee thoroughly goes over the entire case.

 

The Big Day
On the bonding visit the appropriate orthodontic appliance will be placed during this extended session. We usually go over the care and maintenance of the braces and give you a care kit.

 

 

 

Adjustment Visits
Throughout the course of treatment, ranging from one to two years, you will come in for your monthly adjustments. These appointments are usually short visits.

 

 

The Bigger Day
The De-bonding visit: once your treatment has been completed the braces will be removed and final set of records will be made along with new molds to make retainers.

 

 

 

Retention
This is the final phase of your treatment. Retainers will be custom made to ensure your teeth will remain in their corrected position.